ადამიანის ტვინში ზრდასრული ღორის სოლიტერი პირველად დაფიქსირდა და ეს საქართველოში მოხდა
ფოტო: Journal of Neurosurgery
თებერვალში შევიტყვეთ, რომ საქართველოში ქალის ტვინიდან 15-სანტიმეტრიანი ცოცხალი პარაზიტი Taenia solium, ანუ ღორის სოლიტერი, ამოიყვანეს. ქართველმა ქირურგებმა ეს შემთხვევა დეტალურად აღწერეს, მათი ნაშრომი კი ახლახან რეფერირებად გამოცემაში Journal of Neurosurgery გამოქვეყნდა.
"რამდენიმეთვიანი შრომის, უამრავი სარედაქციო და სამეცნიერო ეტაპის გავლის შემდეგ ჩვენი ცნობილი შემთხვევა დაიბეჭდა მსოფლიოში ერთ-ერთ ყველაზე ავტორიტეტულ ამერიკულ ნეიროქირურგიულ ჟურნალში Journal of Neurosurgery (JNS)", — წერს გიორგი სექანია, ქირურგი და ნაშრომის თანაავტორი, სოციალურ ქსელში.
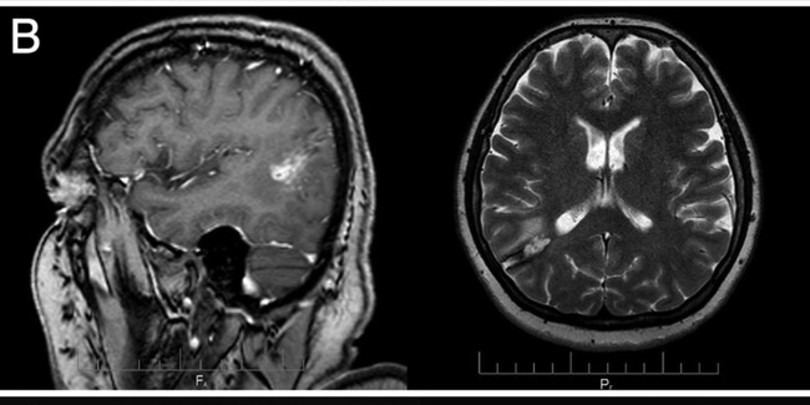
ონკოლოგიური ისტორიის მქონე 54 წლის ქალი ქირურგებთან ტვინის სიმსივნის დიაგნოზით მივიდა. ამოკვეთის მცდელობისას ექიმებმა ტვინში 15-სანტიმეტრიანი ცოცხალი ჭია შენიშნეს.
ნაშრომში ვკითხულობთ, რომ პარაზიტის ამოყვანის შემდეგ ქალი საავადმყოფოდან გაწერეს, 2 მომდევნო კვირა კი ალბენდაზოლით (პარაზიტების სამკურნალო პრეპარატი) მკურნალობდნენ, რათა პოტენციურად შემორჩენილი პარაზიტული ინფექცია მოეშორებინათ. თავის ტვინის ანთების სამართავად დაუნიშნეს დექსამეტაზონიც.
ამოყვანილი ჭია შემდგომში პარაზიტოლოგიის ინსტიტუტმა შეისწავლა. დადასტურდა, რომ ქალს ტვინში მართლაც ზრდასრული თასმისებური ჭია, T. solium, ჰყავდა. ტვინის ქსოვილის მიკროსკოპული კვლევით თასმისებური ჭიის კვერცხებიც შენიშნეს, რომლებიც განვითარების სხვადასხვა სტადიაზე იყო; მათ სპეციფიკური სქელი, ზოლიანი გარსები ჰქონდა.
ოპერაციიდან რამდენიმე თვის განმავლობაში ქირურგები შემთხვევის შესწავლასა და აღწერაზე მუშაობდნენ. ნაშრომმა რეცენზირება გაიარა და რეფერირებად სამეცნიერო ჟურნალში გამოქვეყნდა. გამოდის, სამეცნიერო ლიტერატურაში ეს პირველი დადასტურებული შემთხვევაა, როცა ადამიანის თავის ტვინში ზრდასრული ღორის სოლიტერი დაფიქსირდა.
"დღეს უკვე შეგვიძლია ვთქვათ, რომ სამედიცინო ლიტერატურაში მსგავსი ფაქტი დაფიქსირდა პირველად", — წერს გიორგი სექანია სოციალურ ქსელში.
ცნობისთვის, ღორის სოლიტერი პარაზიტია, რომელიც ადამიანის სხეულში არასათანადოდ დამუშავებული ღორის ხორციდან ხვდება. მისი კვერცხები, შესაძლოა, სისხლის მიმოქცევაში აღმოჩნდეს და ტვინამდეც მიაღწიოს. ტვინში ისინი ცისტებს წარმოქმნის და დაავადება, სახელად ნეიროცისტიცერკოზი, ვითარდება. ეს თავის ტკივილებს, გულყრებსა და სხვა ნევროლოგიურ პრობლემებს იწვევს.
სწორედ აღნიშნული სიმპტომებით მიმართა ქალმა ქირურგებს. მათ გამომწვევ მიზეზს, ტვინიდან ამოყვანილ 15-სანტიმეტრიან პარაზიტს, ამ ბმულზე იხილავთ.


კომენტარები